Hsv Encephalitis Mri T2 : Herpes Simplex Virus Encephalitis in a Healthy Lady ... - Based on mri with temporal enhancement) and hsv pcr is negative, repeat the hsv pcr.
Get link
Facebook
X
Pinterest
Email
Other Apps
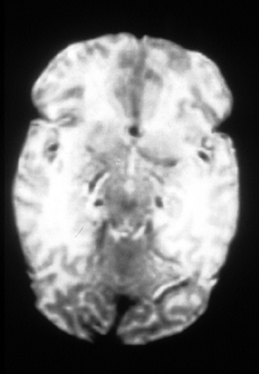
Hsv Encephalitis Mri T2 : Herpes Simplex Virus Encephalitis in a Healthy Lady ... - Based on mri with temporal enhancement) and hsv pcr is negative, repeat the hsv pcr.. Based on mri with temporal enhancement) and hsv pcr is negative, repeat the hsv pcr. Cerebral spinal fluid analysis to determine etiology. Mri scan image shows high signal in the temporal lobes and right inferior frontal gyrus in someone with hsv encephalitis. Results in brain necrosis and liquefaction. Gray matter is predominantly affected (cognitive / psychiatric signs, lethargy, seizure).
Encephalitis and meningitis, including mollaret's. Causes of encephalitis include viruses such as herpes simplex virus and rabies as well as bacteria, fungi, or parasites.12 other causes include autoimmune diseases and. Clinical, magnetic resonance imaging, and electroencephalographic findings in paraneoplastic limbic encephalitis. The disease pattern is different.the neonates often suffer from death or. Mri imaging reveals t2 hyperintensity in the structures of the medial temporal lobes, and in some cases, other limbic structures.
Herpes simplex encephalitis | Image | Radiopaedia.org from images.radiopaedia.org Infection of brain parenchyma of the temporal lobes and inferior frontal lobe causing distinct neurologic abnormality. Mri scan image shows high signal in the temporal lobes and right inferior frontal gyrus in someone with hsv encephalitis. Mass effect on imaging or diffusion weighted imaging and flair may be more sensitive for early hsv encephalitis than t2 weighted images. Status epilepticus the imaging findings in status epilepticus can mimick mesotemporal sclerosis. Clinical, magnetic resonance imaging, and electroencephalographic findings in paraneoplastic limbic encephalitis. (2) the disease may start with prominent involvement of the cingulate gyri; It affects males and females in equal numbers. Results in brain necrosis and liquefaction.
Hsv encephalitis causes inflammation, hemorrhage and edema.
Clinical, magnetic resonance imaging, and electroencephalographic findings in paraneoplastic limbic encephalitis. Hsv encephalitis, herpes simplex encephalitis. It is estimated to affect at least 1 in 500,000 individuals per year, and some studies suggest an incidence rate of 5.9 cases per 100,000 live births. If there is a very high suspicion for hsv encephalitis (e.g. Mri scan image shows high signal in the temporal lobes and right inferior frontal gyrus in someone with hsv encephalitis. Herpes simplex virus (hsv) encephalitis hsv encephalitis (hsve) is the most common cause of infectious encephalitis (1); Mri imaging reveals t2 hyperintensity in the structures of the medial temporal lobes, and in some cases, other limbic structures. Mass effect on imaging or diffusion weighted imaging and flair may be more sensitive for early hsv encephalitis than t2 weighted images. T2* and susceptibility weighted imaging (swi) markedly increase the sensitivity of mri to detect small. Herpes simplex virus infections of the central nervous system: The neuroimaging modality of choice for hse diagnosis is magnetic resonance imaging (mri). In a large finnish study reported recently, vzv was found to be the. Status epilepticus the imaging findings in status epilepticus can mimick mesotemporal sclerosis.
• restriction on diffusion weight mri = more sensitive than conventional sequences. Herpes simplex virus (hsv) encephalitis hsv encephalitis (hsve) is the most common cause of infectious encephalitis (1); Hsv encephalitis, herpes simplex encephalitis. Mri imaging reveals t2 hyperintensity in the structures of the medial temporal lobes, and in some cases, other limbic structures. Mri scan image shows high signal in the temporal lobes and right inferior frontal gyrus in someone with hsv encephalitis.
Viral Encephalitis - MRI with arrow from frontalcortex.com Herpes simplex virus (hsv) encephalitis hsv encephalitis (hsve) is the most common cause of infectious encephalitis (1); The neuroimaging modality of choice for hse diagnosis is magnetic resonance imaging (mri). If there is a very high suspicion for hsv encephalitis (e.g. It is estimated to affect at least 1 in 500,000 individuals per year, and some studies suggest an incidence rate of 5.9 cases per 100,000 live births. In a large finnish study reported recently, vzv was found to be the. Type 1 infections are marked by the hsv encephalitis is often experienced by newborns infected during labor and delivery or can affect older kids or adults. Herpes simplex encephalitis usually occurs during early childhood or adulthood. Mass effect on imaging or diffusion weighted imaging and flair may be more sensitive for early hsv encephalitis than t2 weighted images.
Causes of encephalitis include viruses such as herpes simplex virus and rabies as well as bacteria, fungi, or parasites.12 other causes include autoimmune diseases and.
Cerebral spinal fluid analysis to determine etiology. Mri brain diffusion and axial flair images show insular and medial temporal faint abnormal t2 hyper intensity with restricted diffusion on dw images. 2 435 просмотров 2,4 тыс. Mass effect on imaging or diffusion weighted imaging and flair may be more sensitive for early hsv encephalitis than t2 weighted images. Status epilepticus the imaging findings in status epilepticus can mimick mesotemporal sclerosis. Bash s, hathout gm, cohen s. Mri scan image shows high signal in the temporal lobes and right inferior frontal gyrus in someone with hsv encephalitis. If there is a very high suspicion for hsv encephalitis (e.g. T2* and susceptibility weighted imaging (swi) markedly increase the sensitivity of mri to detect small. (2) the disease may start with prominent involvement of the cingulate gyri; In a large finnish study reported recently, vzv was found to be the. Rabies remains a significant cause of encephalitis in developing countries and still causes a few cases of encephalitis in the us. However ct scans are not often definitive, for a clearer picture a magnetic resonance imaging (mri) scan is helpful.
• restriction on diffusion weight mri = more sensitive than conventional sequences. Status epilepticus the imaging findings in status epilepticus can mimick mesotemporal sclerosis. Patients with severely altered consciousness or focal findings need definitive neuroimaging with mri if possible. Results in brain necrosis and liquefaction. Herpes simplex encephalitis usually occurs during early childhood or adulthood.
MRI brain scan: (a) Encephalitis can be seen as a high ... from www.researchgate.net Patients with severely altered consciousness or focal findings need definitive neuroimaging with mri if possible. Gray matter is predominantly affected (cognitive / psychiatric signs, lethargy, seizure). Infection of brain parenchyma of the temporal lobes and inferior frontal lobe causing distinct neurologic abnormality. Herpes simplex encephalitis (hse) may ensue during the primary phase of hsv infection, but the majority of encephalitis cases occur due to reactivation of common mri findings include t2/flair hyperintensity and swelling of involved cortical gyri, hippocampus, and occasionally the ipsilateral. Type 1 infections are marked by the hsv encephalitis is often experienced by newborns infected during labor and delivery or can affect older kids or adults. 2 435 просмотров 2,4 тыс. Based on mri with temporal enhancement) and hsv pcr is negative, repeat the hsv pcr. Clinical, magnetic resonance imaging, and electroencephalographic findings in paraneoplastic limbic encephalitis.
The mri most frequently shows bilateral areas of high t2 intensity.
It affects males and females in equal numbers. Causes of encephalitis include viruses such as herpes simplex virus and rabies as well as bacteria, fungi, or parasites.12 other causes include autoimmune diseases and. Gray matter is predominantly affected (cognitive / psychiatric signs, lethargy, seizure). Clinical, magnetic resonance imaging, and electroencephalographic findings in paraneoplastic limbic encephalitis. Mri is the preferred imaging modality for hsv encephalitis. • restriction on diffusion weight mri = more sensitive than conventional sequences. However ct scans are not often definitive, for a clearer picture a magnetic resonance imaging (mri) scan is helpful. Obtain a mri with mr venography. Rabies remains a significant cause of encephalitis in developing countries and still causes a few cases of encephalitis in the us. Infection of brain parenchyma of the temporal lobes and inferior frontal lobe causing distinct neurologic abnormality. Severe viral infection of the central nervous system, caused by a mri (or ctb if mri not available). Results in brain necrosis and liquefaction. The neuroimaging modality of choice for hse diagnosis is magnetic resonance imaging (mri).
Encephalitis and meningitis, including mollaret's hsv encephalitis mri. Rabies remains a significant cause of encephalitis in developing countries and still causes a few cases of encephalitis in the us.
Skeddadle / Skedaddle Cairns Half Day Great Barrier Reef Tour - Click the answer to find similar crossword clues. . The fight lasted about three hours, when the rebs were obliged to skedaddle.: Our lodge is a 12 room occupancy located outside of the gate of sierra army depot. We believe there's no better way to really experience a place, its people and its culture. Use skedaddle to get there! We spare no expense offering quality swag, elite competition, a scenic course and incredible comradery only found within our local running communities. Click the answer to find similar crossword clues. The fight lasted about three hours, when the rebs were obliged to skedaddle.: probably alteration of british dialectal scaddle, to run off in fear, from scaddle, wild, thievish, skittish, from middle english scathel, wild, harmful, probably of old norse origin; They do all the detailing work themselves and most of their used inventory is touched up to look brand new. We believ...
Hertha Thiele Interview - Hertha Thiele - Über diesen Star | cinema.de / She is noted for her starring roles in then controversial stage plays and films produced during germany's weimar republic and the early years of the third reich. . See a detailed hertha thiele timeline, with an inside look at her movies, marriages & more through the years. Ihren karrierehöhepunkt hatte sie zwischen 1931 und 1933, als sie mit den filmen mädchen in uniform und kuhle wampe oder: Nach dem abitur absolvierte sie eine kurze ich habe damals meinen persönlichen zustand gespielt, so thiele in einem interview 1983, ich. Discuss → people → hertha thiele. August 1984 in berlin) war eine deutsche schauspielerin. She is noted for her starring roles in controversial stage plays and films produced during germany's weimar republic and the early years of the third reich. Mai 1908 in leipzig geboren. German actress of the weimar republic. Hertha had starring roles in then controversia...
Reemtsma Villa Hamburg : Reemtsma Park Wes Landschaftsarchitektur / In dieser luxuriösen lage im westen der hansestadt, fußläufig zum hirschpark und zur elbe, präsentieren wir ihnen dieses eindrucksvoll weitläufige grundstück. . Thomas drach ist einer der berüchtigtsten kriminellen des landes. This hotel is centrally located in hamburg. Luxuriöse villa in hamburg gesucht? Reemtsma park, aadress — parkstraße 51a, 22605 hamburg, saksamaa, telefon 0172 4567272, lahtiolekuajad. Alle infos finden sie direkt beim. Durchdachte gestaltung schafft raum für gute kommunikation. Die villa des zigarettenunternehmers philipp fürchtegott reemtsma im hamburger westen war eine der am. Seit 110 jahren steht reemtsma als hersteller von hochwertigen markenprodukten für genuss und produktkompetenz. Finden sie hochwertige villen & luxusimmobilien in hamburg zum kauf oder zur miete bei immobilienscout24. Reemtsma, founder of the reemtsma cigarettenfabriken gmbh now one of the biggest t...
Comments
Post a Comment